Zum Hauptinhalt springen Zur Suche springen Zur Hauptnavigation springen

Hinweis: Unser Sortiment richtet sich ausschließlich an Zahnarztpraxen, Zahnlabore und Unternehmen der Dentalbranche. Ein Verkauf an Privatpersonen ist ausgeschlossen.

Willkommen bei ADS. American Dental Systems. Gemeinsam verbessern wir die Zahnmedizin.
Porträt Dr. Lea Krueger-Janson

Dr. Lea Krueger-Janson

2008-2013 Studium der Zahnheilkunde an der Universität Witten-Herdecke. 2013 Approbation als Zahnärztin. 2014-2015 Assistenzärztin in der Universitätsklinik Zürich. 2016 Erster Platz "Clinical Case-Award" der Schweizerischen Gesellschaft für Alters- und Special-Care-Zahnmedizin (SGZBB). 2018-2019 Assistenzärztin in der väterlichen Praxis Krueger-Janson in Frankfurt am Main. 2018 Promotion zu "Dr. med. dent.". 2018 Wissenschaftliche Publikation in der "Quintessenz Implantologie: Verzögerte Sofortimplantation eines Keramikimplantats in der ästhetischen Zone". 2018-heute Fortbildungsreferentin im Quintessenz-Verlag (Zahnmedizinische Fachpublikationen). 2019-2021 Klinikleiterin bei Clinicodent Zug. 2021-heute Zahnärztin bei Zahnarzt Team Luzern.

Case Reports

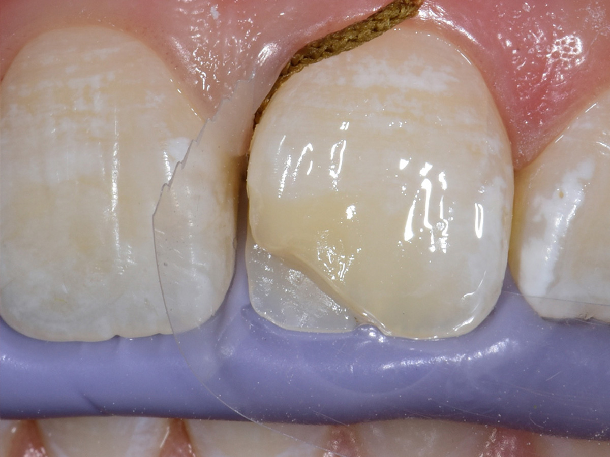
Füllungskorrektur am Frontzahn 21
Autorin: Dr. Lea Krueger-Janson
Füllungskorrekturen an Zahn 11 und 21

Autorin: Dr. Lea Krueger-Janson